Skip Menu
Continue

2261 Broadbridge Avenue, Stratford, CT 06614
(203) 375-4633
  • Home
  • About Us
    • Our Office
    • New Patients
    • Smile Gallery
    • Dental Videos
    • Testimonials
  • Our Doctors
    • Pritiza K. Subedi, DMD, BDS, RDH
  • Services
      • View All
    • Dental Health
    • Contact
      • Contact Us
      • Request Appointment

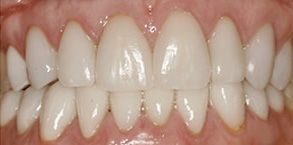
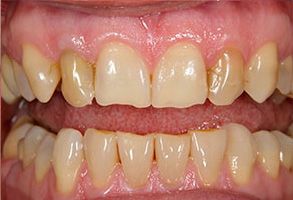
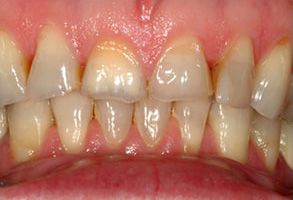
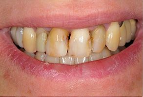
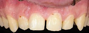
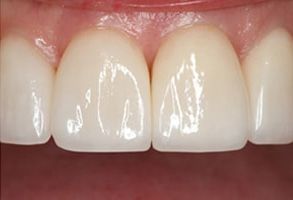
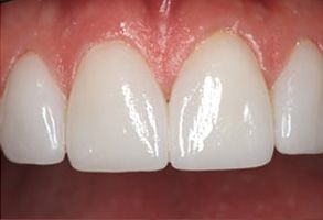
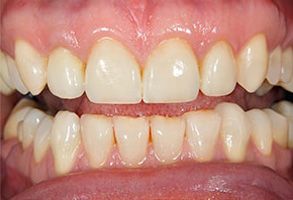
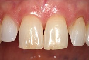
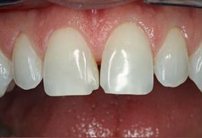
    Smile Gallery